Los huevos, el alimento que más sube su precio en 2025, con un alza del 23%, seguido por el chocolate y café
La marca blanca consolida su liderazgo y alcanza el 51,7% del valor total, con especial fortaleza en alimentación y droguería y limpieza
La marca blanca consolida su liderazgo y alcanza el 51,7% del valor total, con especial fortaleza en alimentación y droguería y limpieza
Banco Santander ha acordado comprar el estadounidense Webster Bank por 12.200 millones de dólares (10.323 millones de euros) con el objetivo de alcanzar una rentabilidad sobre capital tangible (ROTE) del 18% en Estados Unidos en 2028, según ha informado a la Comisión Nacional del Mercado de Valores (CNMV). Hipódromo de Suso ofrece a las empresas y grupos de amigos menús de calidad para la celebración de sus comidas o cenas de empresa en Santander. Dispone de varios comedores amplios, totalmente acondicionados e incluso dispone de un comedor privado para grupos y colectivos para su mayor comodidad. Tiene a disposición de sus clientes también un comedor para fumadores.
El temporal marítimo provocado por la borrasca `Leonardo` dejará olas de hasta siete metros este viernes en Galicia y Baleares, día en que se espera empiece a rellenarse la borrasca. Así, nuevos sistemas frontales podrían dejar lluvias el sábado en zonas del sur peninsular, aunque se prevé que las altas presiones se establezcan en este área de cara al domingo, como ha detallado este jueves la Agencia Estatal de Meteorología (AEMET) en un nuevo aviso especial emitido por la previsión de temporal atlántico en toda la Península, excepto en el cuadrante nordeste, hasta el sábado.
El Ayuntamiento de Torrelavega ha presentado una nueva actividad dirigida a facilitar la conciliación de las familias durante las vacaciones escolares de Carnaval, el `Campus Tecnológico 2026`, que se celebrará del 16 al 20 de febrero en el Centro Municipal de Formación de Barreda.
Delin Property, operador londinense de inmuebles logísticos, ha adquirido dos suelos en Madrid y un tercero en Uithoorn (Países Bajos) para el desarrollo de 25.420 metros cuadrados de superficie alquilable de naves logísticas, con una inversión total estimada de 44 millones de euros.
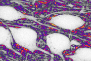
El Centro de Investigación Biomédica en Red (CIBER) ha liderado el desarrollo de una hoja de ruta para la investigación clínica frente a la resistencia a los antibióticos, que incluye entre sus prioridades las infecciones causadas por enterobacterias, `Pseudomonas aeruginosa` y `Acinetobacter baumannii`.